GÃY CỔ XƯƠNG ĐÙI
Gãy cổ xương đùi là một bệnh rất thường gặp ở những người già, nhất là phụ nữ.

Hàng năm tại Mỹ có khoảng 1,3 triệu người già bị gãy cổ xương đùi, 20% trong số những người đó bị tử vong trong vòng sáu tháng đầu tiên. Các nhà quan sát thấy rằng khoảng 30-50% những người bị gãy cổ xương đùi không bao giờ trở lại trình trạng chức năng như trước khi bị té ngã và cần sự giúp đỡ của người khác. Năm 2006, Chính phủ Mỹ phải chi 9,8 tỉ đô la ngân sách nhà nước cho công tác chăm sóc y tế đối với những người già bị gãy cổ xương đùi.
Tại sao người già thường hay bị gãy cổ xương đùi?
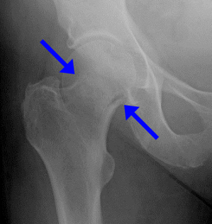
Cổ xương đùi là phần nối tiếp giữa chỏm và thân xương đùi. Nó chịu một lực tải rất lớn từ trên cơ thể xuống. Cấu trúc giải phẫu cổ xương đùi rất đặc biệt, nó có ba bè xương đan chéo nhau để chịu sức căng lên cổ xương đùi. Tuy nhiên giữa ba bè xương này lại có một điểm khuyết hình tam giác gọi là tam giác Ward. Đây là điểm yếu nhất của cổ xương đùi nên hay bị gãy chổ này. Ngoài ra, ở những người già còn có trình trạng loãng xương kèm theo. Xương loãng sẽ bị giòn và yếu nên cũng dễ gãy nếu có một chấn thương xảy ra.

Các nguyên nhân thường gây gãy cổ xương đùi:
Người già chỉ cần một chấn thương nhẹ cũng có thể làm gãy cổ xương đùi. Theo ghi nhận của chúng tôi, nguyên nhân thường gặp nhất là té ngã trong sinh hoạt hàng ngày như té trong nhà tắm, vấp té khi thay quần dài ống, té khi đứng trên ghế để thắp nhang….Ngoài ra đôi khi còn gặp té ngã do tai nạn giao thông.
Triệu chứng:
– Đau vùng khớp háng, đau lan xuống đùi và gối. Có khi người bệnh chỉ đau vùng khớp gối cho nên nhiều người tưởng là mình chỉ bị gãy xương vùng khớp gối. Đau nhiều hơn mỗi lúc xoay trở hoặc ngồi lên nằm xuống.
– Chân có thể co nhẹ và khép vào, kéo duỗi ra làm cho bệnh nhân đau thêm. Có khi chân gãy ngắn hơn chân kia
Các biến chứng sau gãy cổ xương đùi:
Gãy cổ xương đùi là một bệnh lý nặng, nó càng nặng nề hơn khi xảy ra trên một người già vốn đang tiềm ẩn nhiều bệnh lý nội khoa. Nếu không điều trị hoặc điều trị không đúng cách sẽ xảy ra nhiều biến chứng như sau:
– Tắt mạch: Vì gãy xương và đau đơn cho nên người già bị gãy cổ xương đùi phải nằm lâu, ít vận động. Điều này dễ hình thành những cục máu đông trong lòng mạch máu. Nếu những cục máu này di chuyển đến phổi, não hoặc tim sẽ gây ra biến chứng tắt mạch ở những cơ quan này. Đây là biến chứng nặng nề, đôi khi nguy hiểm tính mạng.
– Nhiễm trùng: do nằm lâu, phổi không được thông khí tốt cho nên dễ bị viêm phổi, nhiễm trùng đường tiểu… làm cho bệnh nặng nề và khó trị
– Loét da vùng tì đè: do đau đớn nên người già không dám cử động làm cho vùng da bị tì đè nhiều sẽ bị loét như loét vùng cùng cụt, vùng mắc cá ngoài, vùng gối…những vùng này rất khó lành.
Liên hệ với bác sĩ để nhận tư vấn cụ thể hơn!!!
Hotline tư vấn: 09 08 94 96 07
Phương pháp điều trị:
Thông thường gãy cổ xương đùi nên phẫu thuật cố định tốt ổ gãy để người bệnh có thể ngồi dậy vận động sớm, hạn chế được các biến chứng xảy ra. Tuy nhiên để thực hiện được phẫu thuật, cơ sở chữa trị phải có nhóm bác sỹ nội khoa và gây mê chuyên nghiệp để kiểm soát tốt những bệnh lý nội khoa của người già trong lúc mổ và những ngày sau mổ. Tùy theo trình trạng sức khoẻ của người bệnh, thời gian bị gãy, chất lượng xương và kiễu gãy mà bác sỹ sẽ đưa ra các phương pháp phẫu thuật phù hợp: bắt vis cổ xương đùi, thay khớp háng bán phần, thay khớp háng toàn phần…
Liên hệ với bác sĩ để nhận tư vấn cụ thể hơn!!!
Hotline tư vấn: 09 08 94 96 07
1. Bắt vis cổ xương đùi :

Sau khi thực hiện vô cảm tốt, kê người bệnh trên bàn nắn chỉnh hình, kéo nắn và chụp phim kiểm tra. Nếu thấy đường gãy vào đúng vị trí thì bác sỹ sẽ khoan và bắt từ 2 đến 3 vis vào cổ xương đùi để cố định mảnh gãy. Phương pháp này đơn giản, ít gây tác động lên người già, chỉ cần một đường rạch da nhỏ, ít gây mất máu và ít đau. Tuy nhiên để kiểm tra đường gãy đã được nắn chính xác, bắt vis có vào đúng vị trí thích hợp hay không, chúng ta cần phải trang bị màng hình tăng sáng ( máy C-Arm) tại phòng mổ. Thiết bị này rất đắt tiền cho nên hiện tại chỉ một vài bệnh viện lớn được trang bị máy này. Sau phẫu thuật người bệnh được phép ngồi dậy sớm, nhưng chưa được phép đi lại. Tỉ lệ thành công của phương pháp này khoảng 85%. Nếu chỏm xương đùi không liền, các bác sỹ sẽ thực hiện phẫu thuật thay khớp nhân tạo.
Liên hệ với bác sĩ để nhận tư vấn cụ thể hơn!!!
Hotline tư vấn: 09 08 94 96 07
2. Thay khớp háng bán phần:

Sau khi vô cảm, Bác sỹ sẽ mổ cắt bỏ phần chỏm xương đùi đã bị gãy, thay vào đó là chỏm khớp nhân tạo. Sau mổ vài ngày người bệnh có thể ngồi dậy, tập vận động chân, tập thở, tránh những biến chứng do nằm lâu. Chính vì vậy phẫu thuật này rất có lợi cho những người lớn tuổi, khả năng liền xương kém. Đối với những người già lớn tuổi bị gãy cổ xương đùi thông thường chúng tôi áp dụng phương pháp thay khớp bán phần giúp giảm đau và cho phép người bệnh đi lại sớm.
3. Thay khớp háng toàn phần:
Bác sỹ sẽ thay cả phần chỏm xương đùi và phần ổ cối bên trên. So với thay khớp bán phần, khớp háng toàn phần có tuổi thọ kéo dài hơn. Tuy nhiên kỹ thuật này khó hơn thay khớp bán phần, thời gian phẫu thuật kéo dài hơn. Chính vì vậy nếu bệnh nhân còn sức khỏe, nhu cầu đi lại còn nhiều thì các bác sỹ sẽ chọn phương pháp này.
Liên hệ với bác sĩ để nhận tư vấn cụ thể hơn!!!
Hotline tư vấn: 09 08 94 96 07
“Khám bệnh tỉ mỉ và toàn diện giúp định bệnh chính xác. Rất hân hạnh là người Bác sỹ khám chữa bệnh ngay từ đầu cho quý vị : ” 09 08 94 96 07 – 09 13 65 00 79“

